K.Sankara N
Google review
Courteous, efficient, prompt and very good. Dr. took the time to explain the procedure planned.
Explore patient testimonials and case studies that highlight our dental expertise. See how personalized care, advanced treatments, and dedication to excellence have transformed smiles and improved oral health.
K.Sankara N
Google review
Courteous, efficient, prompt and very good. Dr. took the time to explain the procedure planned.
Jim Sakamoto
Google review
Dr Khalil's office was very available to care for me on very short notice. His staff was very welcoming and caring... Read More
Alice Hwe
Google review
My experience today is above expectation short of miracle. I've been in the medical field myself over 40 years... Read More
Mojdeh Vijeh
Google review
Attentive, polite and caring staff. Dr Khalili is kind and wants to know your concerns. He is professional and competent... Read More
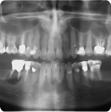
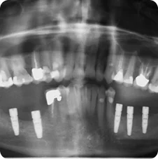
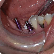
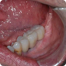
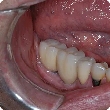
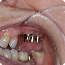
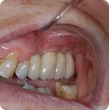
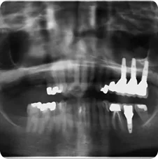
Case #1 was done with the coordination of Dr. Brian Assael D.D.S. Berkeley, CA. www.berkeleydds.com

Pre-operative

Post-operative Implant Placements

Impressions #18, 19 and 20

Impressions #30 and 31

Final - Crown Placements

Final - Crown Placements
Case #2 done with the coordination of Dr. Brian Assael D.D.S. Berkeley CA. www.berkeleydds.com

Pre-operative

Impressions for Crowns #13, 14, 15, 16 and 18

Crowns before placement

Crown Placements

Final